london cosmetic implant dentist
100 Harley street
LONDON W1G 7JA
United Kingdom
harleyst
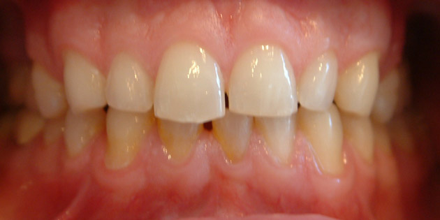
venneers are thin laminate layers of porcelain applied on the front side of the teeth.They are used to correct crooked teeth, fill gaps between the teeth change the appearance and shape of the teeth when teeth are not structurally damaged.



When teeth are missing or can't be saved by a dental treatment, implant are used to replace them . Implants are artificial tooth roots made of titanium. These anchors act as tooth root substitutes. They are surgically placed into the jawbone. The bone bonds with the titanium; this is the osteointegration. this process creates a strong foundation for porcelain fixed new teeth or they can stabilize an existing uncomfortable denture.

Invisalign is the perfect solution for those who want their teeth straighten, but don't want to wear braces. A set of transparent aligners will move your teeth back to their ideal position giving you the great smile you have been dreaming of.
contact us to find out how your perfect new smile will be achieved.
by email : london.smile.clinic@gmail.com
by telephone :
+442079357815
take a look at our other website
to discover our latest offers.
free consultation, discount etc...
london cosmetic implant dentist
100 Harley street
LONDON W1G 7JA
United Kingdom
harleyst